Advancing AI for
Africa's Future


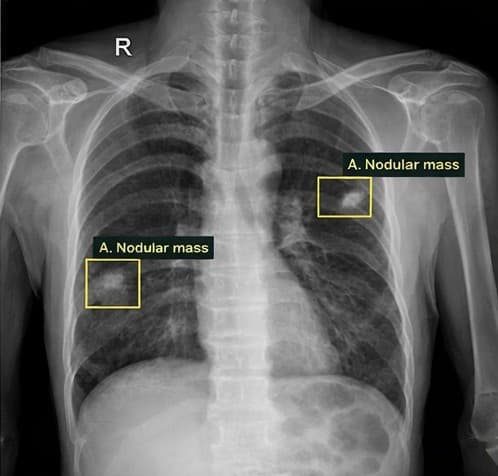
Lung tumor

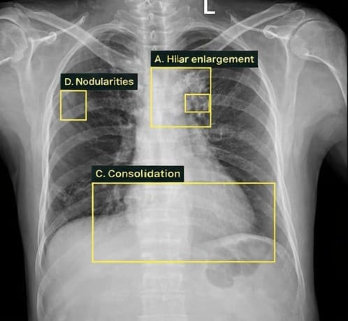
Tuberculosis

TB | 0.94Sputum collection pending


Lung tumor

Tuberculosis

Tuberculosis | 0.94Sputum collection pending
Our Platform Modules
Comprehensive AI solutions organized into focused platforms
Our Focus Areas
Driving AI innovation across key sectors in Africa


Healthcare Access
Across Africa, millions lack access to quality healthcare. Our AI solutions—from TB and pneumonia detection to telemedicine platforms—are transforming healthcare delivery, enabling faster diagnoses and saving lives in communities that need it most.
AI diagnostic tools, telemedicine platforms, health data analytics, and mobile-first healthcare delivery.


Climate Vulnerability
Climate change hits Africa hardest—droughts, floods, and extreme weather threaten millions. Our AI models predict climate risks, power early warning systems, and help communities build resilience before disasters strike.
Climate prediction models, early warning systems, disaster response coordination, and community resilience tools.


Food Insecurity
Over 250 million Africans face food insecurity. Our AI tools give farmers real-time insights on soil health, weather, and pest threats—boosting yields, reducing waste, and building sustainable livelihoods for farming communities.
Smart crop monitoring, pest and disease prediction, precision irrigation, and market price forecasting.
Projects
Innovative AI solutions making a difference

Community Health AI (CHAI)
Learn More»
AI and Low Resource Languages
Learn More»
AI-Driven Network Optimization for School Connectivity
Learn More»Join Us in Advancing AI for Africa
Whether you're a researcher, entrepreneur, or organization, there's a place for you in our mission.




